Real Results
Smile Gallery
Discover the transformative power of modern dentistry
Each smile tells a unique story of confidence restored, function improved, and lives changed. Explore our before-and-after gallery to see the artistry and precision we bring to every case.

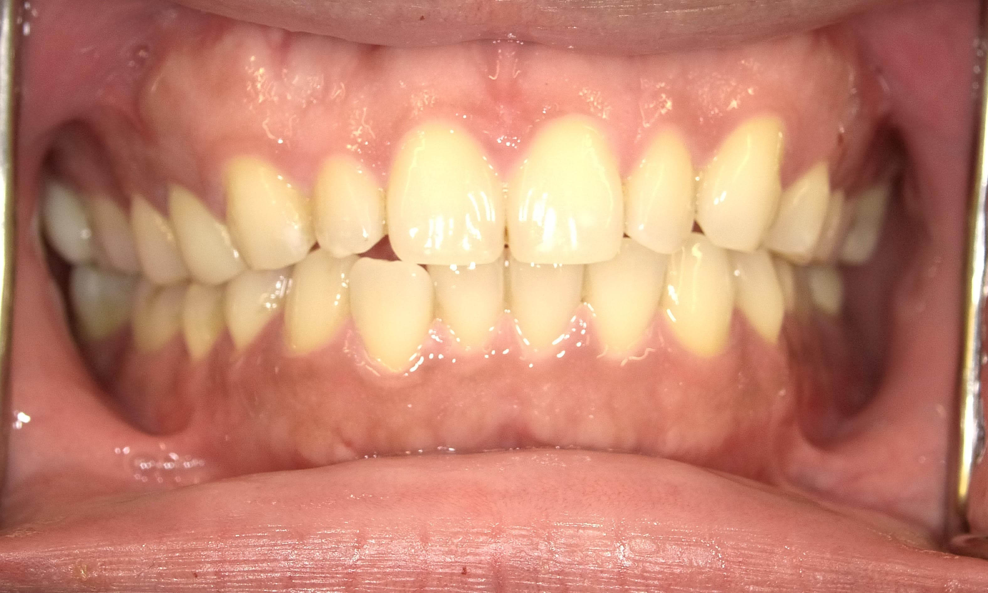
After

Before
Drag to compare
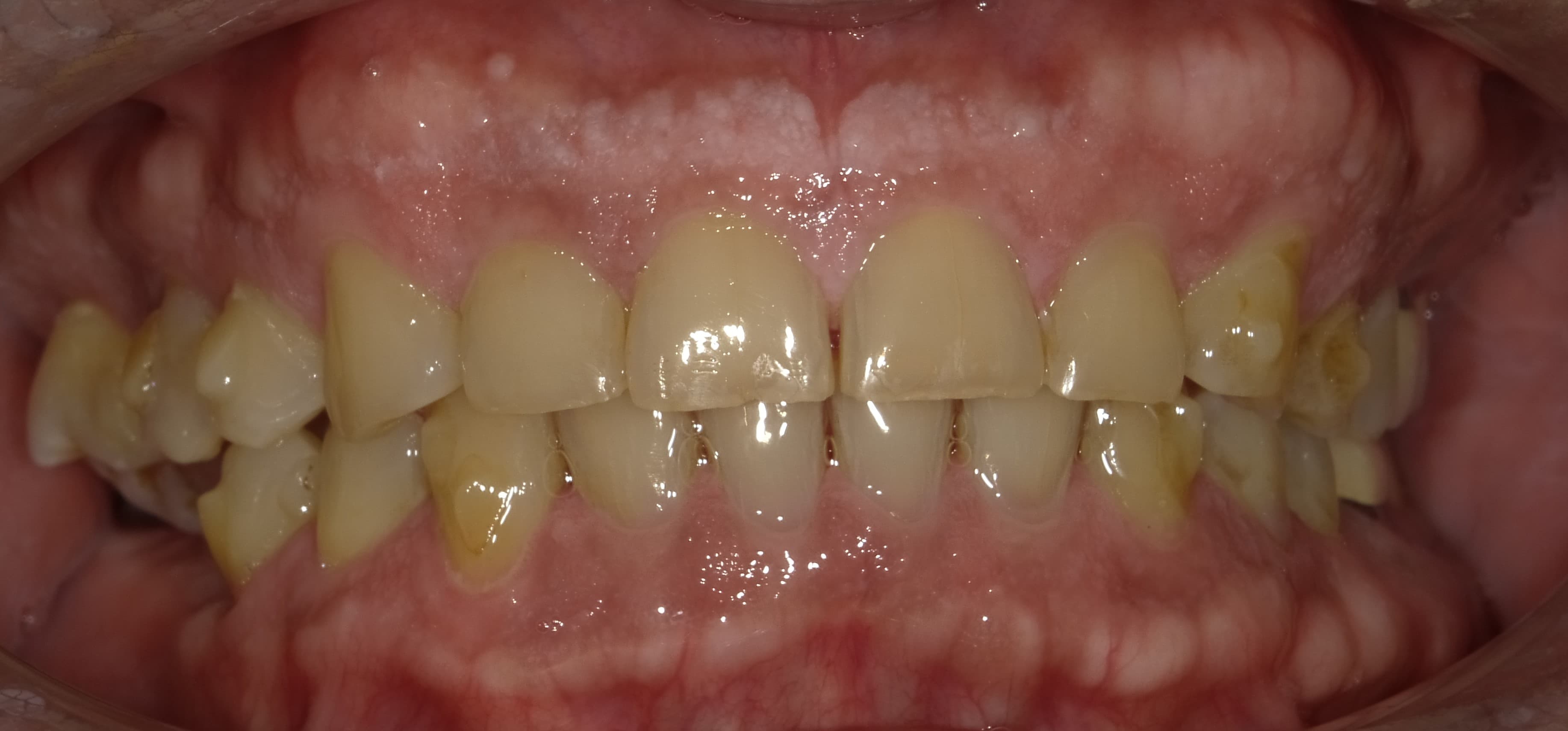
After
Before
Drag to compare
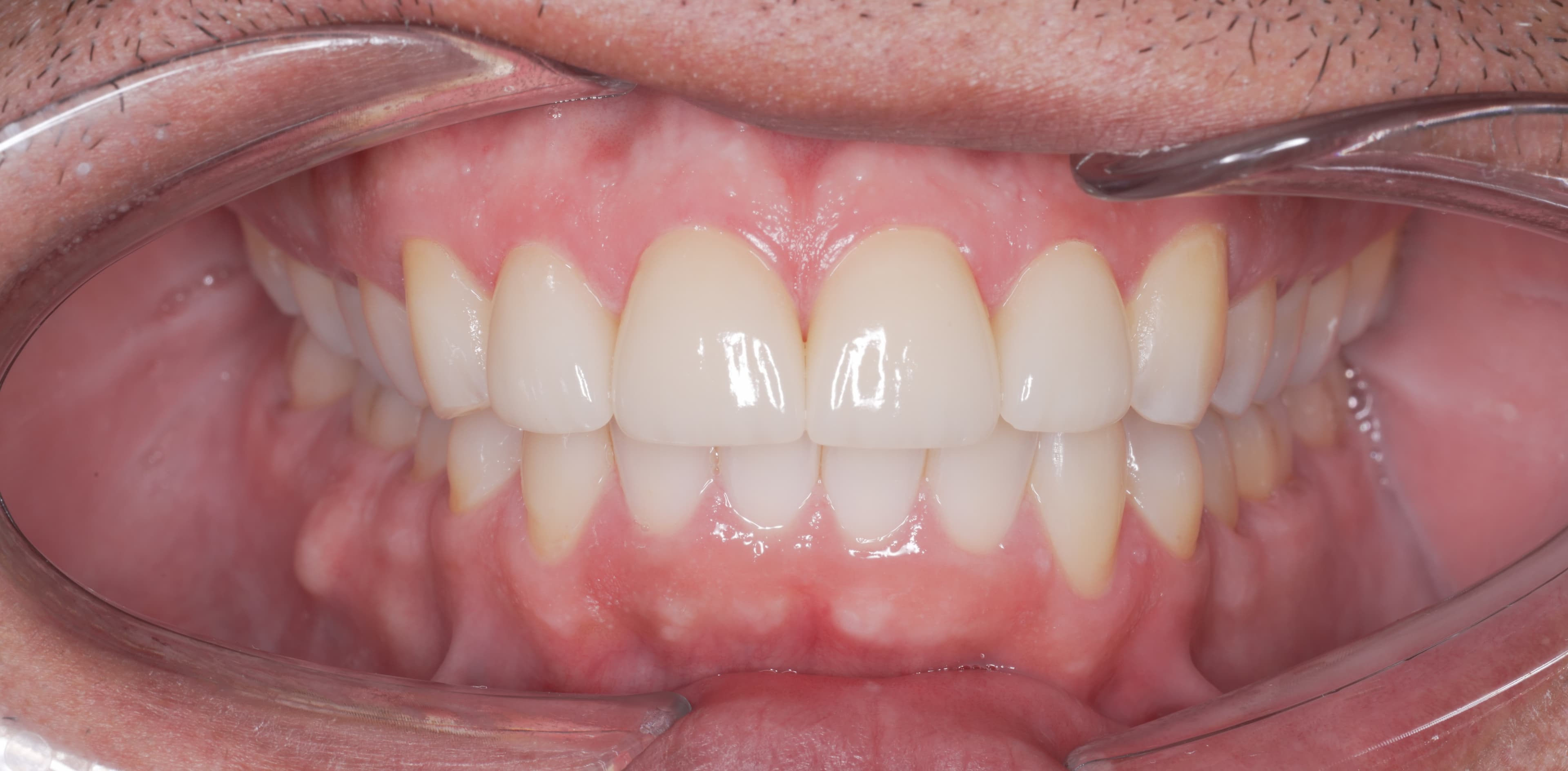
After
Before
Drag to compare
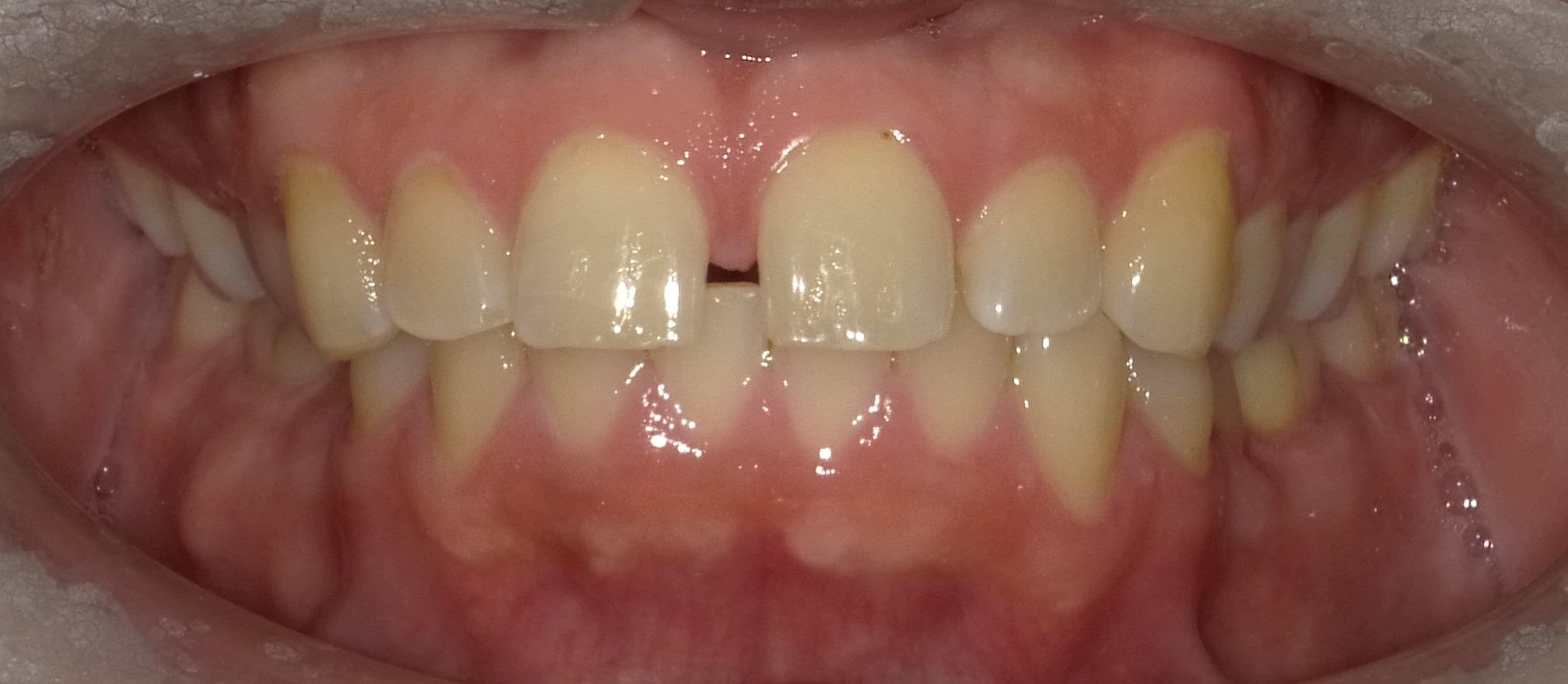
After
Before
Drag to compare
After
Before
Drag to compare
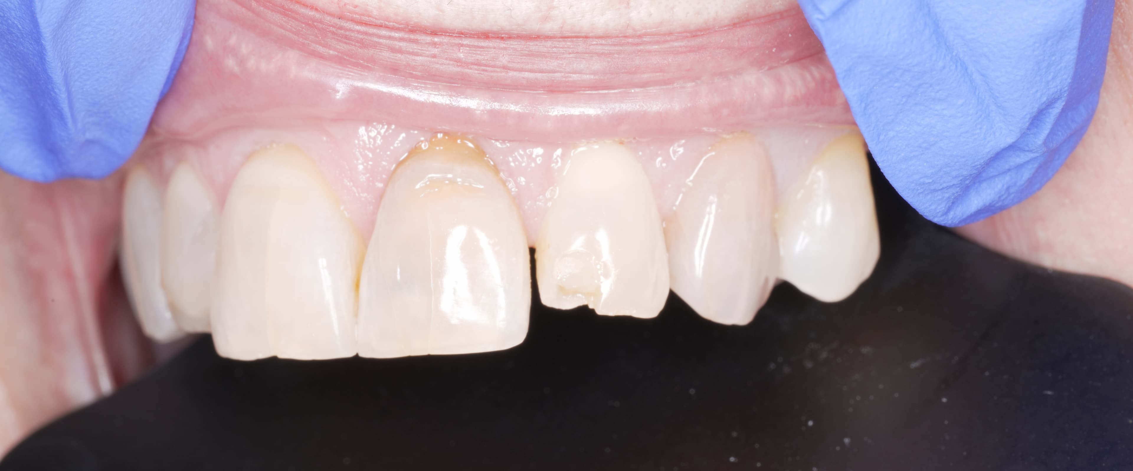
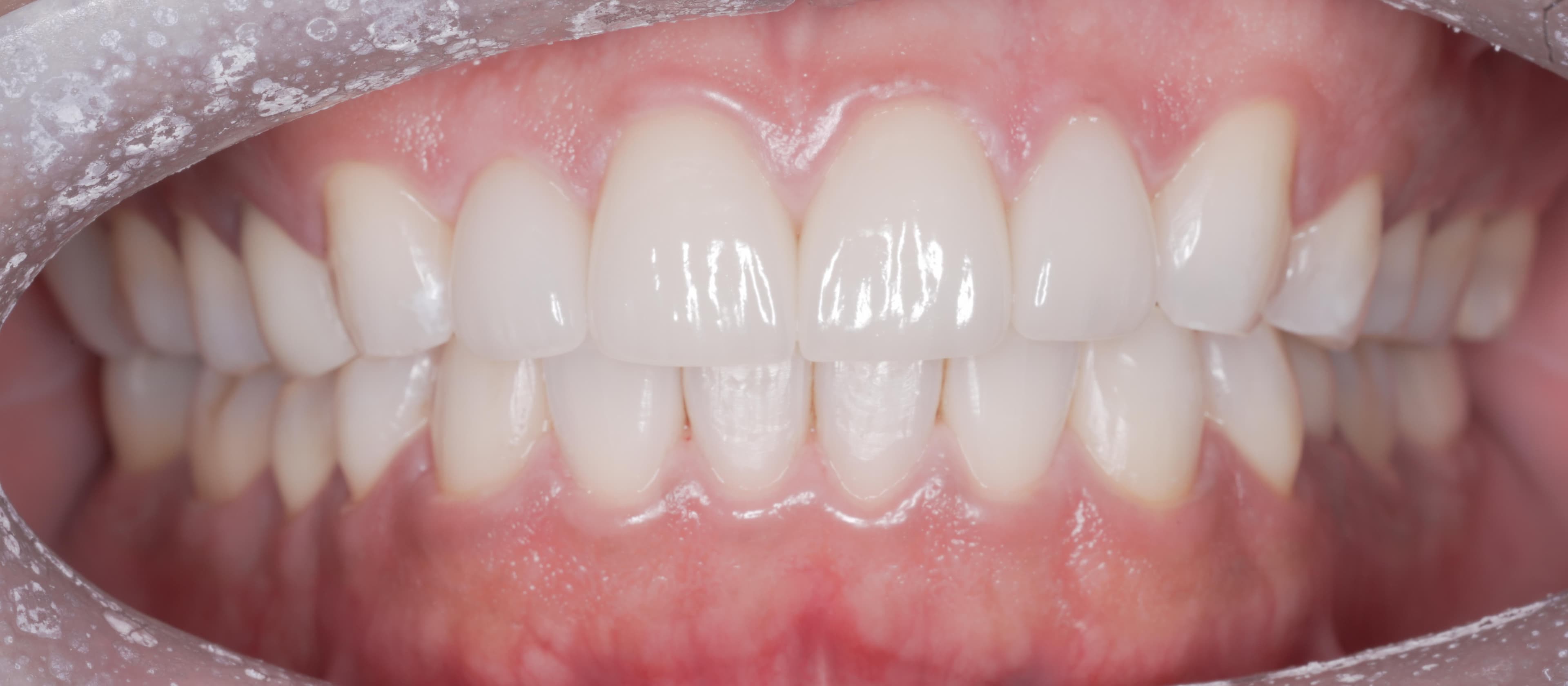
Lateral incisor chip restoration
Composite bonding
After
Before
Drag to compare
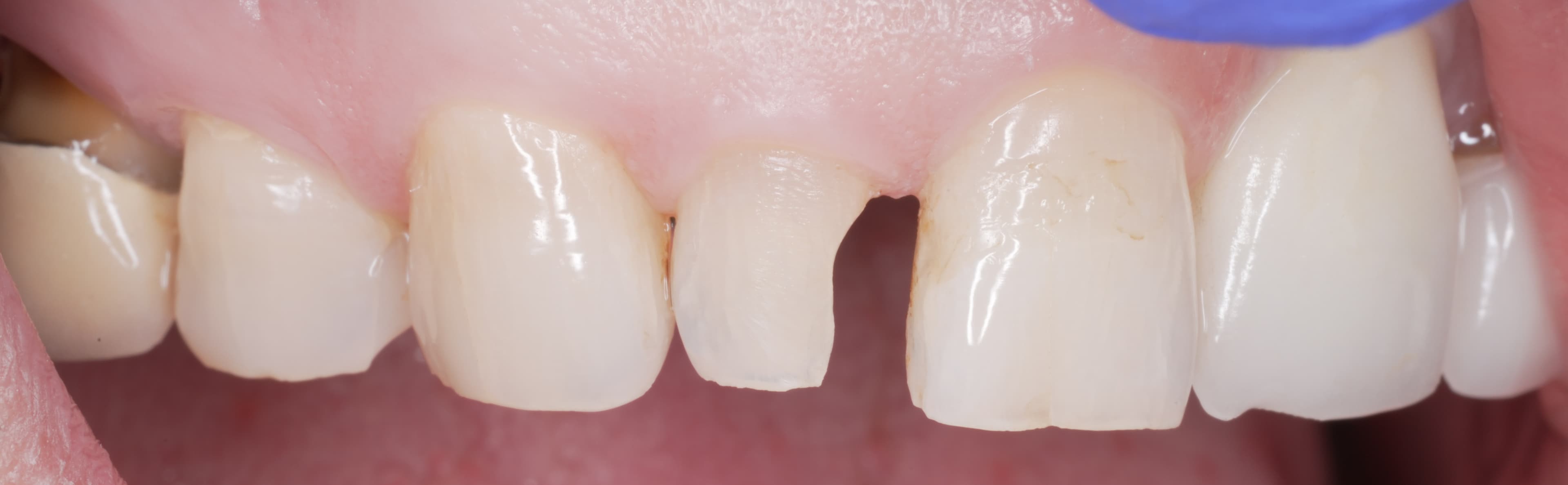
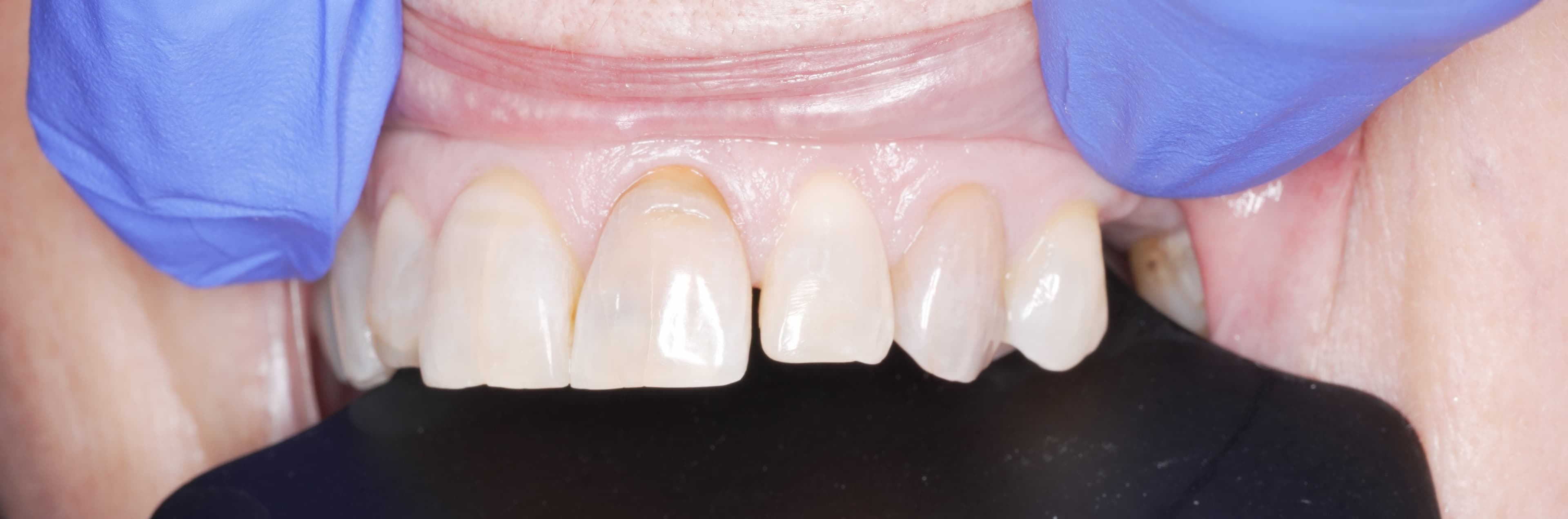
Lateral incisor fracture restoration
Composite bonding
Important: Results shown are examples of dental work performed at our practice. Individual results may vary based on each patient's unique situation, dental health, and treatment goals. During your consultation, we'll discuss realistic outcomes tailored to your specific needs.
Ready for Your Own Transformation?
Let's create a personalized treatment plan designed just for you
.png&w=640&q=75)